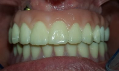
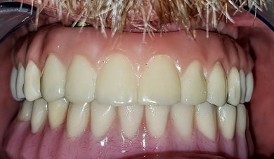
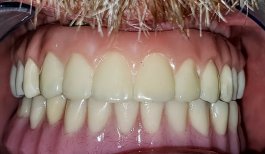
- Тип имплантата: 20 EMAX PORCELAIN VENEERS
- Доктор Миллер Виейра Паула успешно провела более 25 000 стоматологических процедур.
- YeahSmile гарантирует высочайшее качество на каждом этапе благодаря собственной лаборатории и материалам, одобренным FDA.
- В стоимость включено: отель, видео- или текстовая консультация, местная анестезия, последующий осмотр, панорамный снимок зубов, услуги переводчика, шампунь и лосьон, консультация стоматолога, интраоральный снимок, только завтрак, отель 4*, трансфер аэропорт-клиника-аэропорт.
- Информация о пребывании: 5 дней проживания в отеле 4*, включено в стоимость.
Что такое имплантаты All-on-4?
Имплантаты All-on-4 — это процедура, позволяющая заменить всю дугу отсутствующих зубов всего четырьмя имплантатами в челюстной кости. Эти имплантаты используются для поддержки зубного ряда, обеспечивая прочную и надежную основу для набора искусственных зубов. Эта процедура является отличным вариантом для тех, кому не хватает плотности или объема челюстной кости для поддержки традиционных имплантатов. Это также может быть хорошим вариантом для тех, кто хочет заменить несколько отсутствующих зубов за одно посещение. Он становится популярным в Мексике, так как более экономичен, чем традиционные имплантаты.
Как долго мне нужно оставаться в Мексике для имплантации All-on-4?
Процедура имплантации зубов All on 4 в Мексике может быть завершена в течение двух-четырех дней, в зависимости от индивидуальных обстоятельств пациента. Пациенту может потребоваться остаться в Мексике на семь дней, чтобы дать достаточно времени для выздоровления, но это не всегда необходимо.
| Подготовка | 1 день |
| Требуемые визиты | 2-3 визита |
| Допуск | Не требуется |
| Оставайся в отеле | до 7 дней |
| Все пребывание в стране | до 7 дней |
Безопасно ли устанавливать имплантаты All-on-4 в Мексике?
В Мексике безопасно устанавливать зубные имплантаты All-on-4. Во многих стоматологических клиниках Мексики работают квалифицированные, опытные стоматологи и техники, которые устанавливают зубные имплантаты All-on-4. Тем не менее, вам нужно найти клинику с хорошей репутацией, чтобы обеспечить наилучшее качество обслуживания и результат. Проверьте полномочия клиники, подтвердите ее аккредитацию и запросите у своих пациентов фотографии зубных имплантатов All-on-4 до и после. Кроме того, после лечения в Мексике вы можете посетить своего стоматолога или ортопеда, чтобы убедиться, что все выглядит и функционирует должным образом.
Каковы преимущества имплантатов All-on-4?
Зубные имплантаты All-on-4 в Мексике предоставляют множество преимуществ пациентам, которые ищут реставрацию зубов. Эти имплантаты обеспечивают надежное и долгосрочное решение проблемы отсутствия зубов, улучшают жевательную функцию и обеспечивают естественную улыбку. Кроме того, для имплантатов All-on-4 требуется всего четыре имплантата для полной дуги новых зубов, что сводит к минимуму трудоемкость операции. Эта процедура также сокращает время восстановления и общую стоимость лечения. Пациенты, получившие имплантаты All-on-4 в Мексике, сообщают о высокой степени удовлетворенности своими результатами.
Является ли Мексика подходящим местом для установки имплантатов All-on-4?
Да, Мексика — отличное место для установки имплантатов All-on-4. В Мексике есть тысячи стоматологических учреждений и врачей, которые могут провести процедуру имплантации зубов All-on-4 по доступной цене. Мексиканские стоматологи имеют большой опыт, а страна известна своей превосходной системой здравоохранения. Мексика находится всего в нескольких минутах полета от Соединенных Штатов, что делает ее идеальным местом для американцев, которые ищут имплантаты All-on-4. Пациенты могут быть уверены, что получат имплантаты и уход высочайшего качества в Мексике, если выберут подходящую клинику.





















