
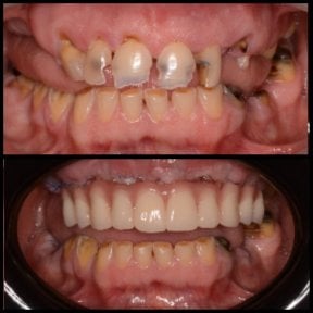
Обзор процедуры костной пластики
Потеря костной массы в области дефекта зуба является одним из наиболее частых относительных противопоказаний к имплантации зубов. Тем не менее, большинству пациентов, 70-90% на верхней челюсти и до 50% на нижней челюсти , перед установкой дентальных имплантатов требуется наращивание костной ткани.
Установка искусственного костно-пластического материала требуется тем пациентам, у которых зубы отсутствуют более двух месяцев. К сожалению, у большинства больных сроки гораздо большие, до 10 лет и более. В таких случаях на помощь приходят различные процедуры костной пластики.
Что такое костный трансплантат для зубного имплантата?
Костная пластика (остеопластика, синус-лифтинг, костная аугментация) – оперативное вмешательство, во время которого хирург достраивает необходимый для имплантации зуба объем ткани. Лучшие челюстно-лицевые хирурги мировых клиник по имплантации зубов проводят процедуру по малотравматичным современным протоколам и международным стандартам качества.
По результатам диагностики врач-стоматолог проводит костную пластику одновременно с имплантацией или проводит ее как отдельную операцию.
Зачем нужен рост костей?
Часто в нашей хирургической практике встречаются состояния, когда кость не готова принять дентальные имплантаты. При наличии вертикального или горизонтального дефекта необходима костная пластика.
Такие проблемы возникают по таким причинам, как:
- травматическое удаление естественных зубов
- индивидуальные анатомические особенности на верхней или нижней челюсти.
Если зуб удален давно, организм физиологически перестраивается, может образоваться узкий костный гребень. Чтобы обойти эти препятствия во время операции по имплантации зубов, стоматологи проводят аугментацию тканей десны.
Как они делают костные трансплантаты для зубных имплантатов?
В силу некоторых причин со временем после удаления зуба объем кости уменьшается. Иногда при имплантации зуба необходимо восстановить ткани. На помощь приходит костная пластика.
Чаще всего с проблемой отсутствия естественной кости сталкиваются пациенты, потерявшие зуб более года назад. Таким образом, тело уменьшает дополнительный объем костей, потому что он больше не нужен. Именно поэтому стоматологи рекомендуют как можно скорее установить имплант на место удаленного зуба.
Иногда потеря костной массы является физиологической особенностью. В этом случае также возникает необходимость в хирургическом вмешательстве. Костную пластику можно проводить как на верхней, так и на нижней челюсти.
Как это работает?
Цель операции – создать основу, которая послужит основой для приживления будущего имплантата. Сложность процесса объясняет относительно высокую стоимость костной пластики при установке дентальных имплантатов.
Врачи выполняют костную пластику зубов по-разному:
- пересадка собственной ткани десны пациента верхней челюсти и других донорских участков
- ткани животного происхождения
- синтетические ткани.
Стоматолог индивидуально определяет тип процедуры костной пластики для каждого пациента.
После введения костного трансплантата ваше тело может восстановиться. Зубной костный трансплантат подобен каркасу, на котором может расти новая кость.
Ваш стоматолог может смешивать костный трансплантат с PRP (богатой тромбоцитами плазмой) . Ваша собственная кровь используется для заживления и восстановления тканей.
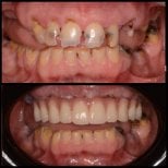
Виды костной пластики
Операции по увеличению кости в стоматологии включают сохранение лунки, увеличение гребня, синус-лифтинг и пародонтальный костный трансплантат.
- Сохранение розетки. Этот трансплантат вставляется в лунку после удаления зуба. Он заменяет лунку утраченного зуба и предотвращает коллапс.
- Увеличение хребта. Если у вас нет зубов, ваша челюсть может быть тоньше. Этот костный трансплантат расширяет и утолщает челюстную кость для поддержки имплантатов или других реставраций.
- Синус лифтинг. Прямо над верхними задними зубами находятся верхнечелюстные пазухи. Пазухи могут проникать в отсутствующие верхние задние корни зубов, если они отсутствуют. Имплантаты в этом случае прокалывали бы мембрану пазухи. Синус-лифтинг может исправить это состояние. Это лечение поднимает пазуху. Трансплантация кости пазухи обеспечивает стабильную основу для зубных имплантатов.
- Пародонтальный костный трансплантат. Болезнь десен может повредить кости, поддерживающие зубы, и вызвать расшатывание зубов. Костный трансплантат используется, чтобы свести к минимуму движение зубов и улучшить поддержку.
Подготовка
Остеопластика проводится после тщательной подготовки. За неделю до операции пациенту необходимо пройти гигиену полости рта и общий осмотр — анализы крови, консультацию кардиолога, терапевта, при необходимости эндокринолога. Сам процесс костной пластики зависит от выбранной техники и используемых материалов. Манипуляции проводят под общей или местной анестезией.
Имеют ли тенденцию к отторжению зубные костные трансплантаты?
Невероятно высокие показатели успеха можно увидеть для зубных костных трансплантатов. Неудача возможна при любой операции, но она более вероятна у тех, кто курит или имеет определенные проблемы со здоровьем. К показателям отторжения костного трансплантата зуба относятся:
- Посленедельная боль или отек.
- Гной или выделения из костного трансплантата.
- Опущение десны (когда десна отходят от зубов).
- Объем челюсти без изменений.
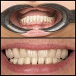
Через какое время после костного трансплантата можно установить имплантат?
В среднем имплантация зубов возможна примерно через 4 месяца после костной пластики. В случае комплексного вмешательства срок может увеличиться до 6-9 месяцев. Иногда возможна параллельная прививка и установка. При диагностике подбирается наиболее подходящий вариант для конкретного пациента.
Можно ли делать имплантацию зубов и костную пластику одновременно?
Во многих странах стоматологи прибегают к параллельной костной пластике и имплантации зубов, что значительно экономит деньги и время на лечение. Эта тенденция превалирует в клиниках таких стран, как Турция , Украина , Мексика , где стоматология развивается бешеными темпами, и есть большой спрос на такие процедуры среди иностранных пациентов.
Более того, врачи в этих странах предоставляют пациентам пакеты для имплантации зубов — в такие предложения обычно входит и костная пластика, и зубной имплантат. Кроме того, зубные пакеты содержат все материалы и лекарства, необходимые для успешной установки зубных имплантатов. При этом такие горячие предложения дешевле, чем отдельные процедуры.
Что произойдет, если вы не получите имплантат после костной пластики?
Кость восстановится, но она будет заживать по-своему, а это означает, что стенки, в которых раньше находился этот зуб, могут рухнуть, в результате чего вы потеряете высоту и ширину кости. Чем больше кости вы теряете, тем меньше вероятность того, что вы станете подходящим кандидатом на имплантацию.
Насколько болезненна пересадка кости для зубных имплантатов?
Пациент не чувствует никакой боли сразу после костных трансплантатов, потому что анестезиолог вводит обезболивающие и седативные препараты до и во время процедуры. Тревога может появиться к концу дня или на следующий день после вмешательства.
Чтобы облегчить боль, стоматологи рекомендуют принимать обезболивающие. Болезненные ощущения должны полностью пройти в течение первой недели после операции.
Вас усыпляют из-за костной пластики зубов?
Пациентов часто не усыпляют во время процедуры костной пластики, потому что это можно сделать просто под местной анестезией. Седация доступна практически во всех клиниках по имплантации зубов. Специалисты могут предложить закись азота, пероральную седацию и внутривенную седацию.
Также возможно, что общая анестезия может потребоваться, если ваш сценарий очень сложный. Попросите вашего стоматолога посоветовать, какой вариант седации лучше всего подходит для вашего случая.
Как долго заживает зубной костный трансплантат?
Процесс заживления после процедуры костной пластики зуба может занять от трех до девяти месяцев. Этого времени достаточно для полного заживления, и нередко эта процедура занимает больше времени. На выздоровление влияют несколько переменных, таких как тип трансплантата, место размещения и способность вашего организма к восстановлению. Спросите своих стоматологов о периоде заживления в вашей конкретной ситуации.
Как долго длится период восстановления после костной пластики?
Длительность реабилитационного периода определяется объемом послеоперационных последствий, которые зависят от масштаба операции и реакции организма.
Обычно восстановление после костной пластики занимает не более двух дней. За это время уходят боль и отек. К третьему дню рана перестает беспокоить, но швы снимают только на 10-14-й день после процедуры. Недостающая кость формируется в течение нескольких месяцев.
Пациентам необходимо посетить врача для контрольных обследований. Компьютерная томограмма определяет степень зрелости костной ткани. Только после этого шага стоматолог может определить оптимальный срок имплантации.
Ускоренная реабилитация
Для пациентов, которые хотят быстро пройти период операционных неудобств и как можно быстрее получить свои зубные имплантаты, ведущие клиники дентальной имплантации предоставляют ускоренные программы реабилитации. Такие планы восстановления включают в себя различные терапевтические процедуры, подобранные индивидуально для каждого пациента, чтобы ускорить время реабилитации и вернуться к повседневному образу жизни пациента в кратчайшие сроки. Программы ускоренной реабилитации могут содержать:
- Инъекции лимфодренажных препаратов (биостимуляторы, пептиды, комплекс микроэлементов, витаминов) для улучшения крово- и лимфообращения обладают противовоспалительными свойствами. Свести к минимуму отеки и синяки и ускорить заживление ран.
- Плазмотерапия PRP — плазма крови богата тромбоцитами, которые используют резервные силы организма. В результате усиливается работа иммунной системы, быстрее протекают процессы перестройки. Исчезают отечность и синяки, быстрее заживают мягкие ткани.
- Микротоковая терапия — воздействие на кожу лица слабыми токами активизирует работу клеток. Ускоряются восстановительные процессы, улучшается кровообращение. Исчезают отечность и болевой синдром, уменьшаются спазмы мышц лица и шеи.
Общие рекомендации после костной пластики
Соблюдение рекомендаций врача в период реабилитации предотвратит возможные осложнения. Вот наиболее распространенные из них:
- Лучше воздержаться от жевания на оперированной стороне в первые дни после костной пластики.
- Первые 2-3 дня ешьте только измельченную пищу комнатной температуры.
- Не курите и не употребляйте алкоголь в течение двух недель после операции.
- Кашлять осторожно и с открытым ртом, чтобы не повышать давление в ротовой полости.
- Спать лучше с поднятой головой.
- Физическая активность и дайвинг запрещены на несколько недель.
- Не рекомендуется находиться на солнце длительное время. Будет лучше, если вы перестанете посещать солярии.
- Запрещено посещать сауну или принимать ванну.
- Было бы полезно, если бы вы воздерживались от полетов в первые несколько недель после костной пластики.
- Соблюдайте физический и эмоциональный покой. Врач будет следить за вашим состоянием во время плановых осмотров.
Выводы
Если ваша челюстная кость начинает разрушаться, это может привести к возникновению проблем, связанных с эффектом домино, включая потерю зубов и проблемы с подвижностью. Вы можете иметь право на зубные имплантаты и другие операции на зубах, если у вас есть костные трансплантаты в вашей челюстной кости. Операция по пересадке кости может быть вариантом, если у вас дегенерация челюстной кости и вы хотите восстановить здоровье и функцию полости рта, а также общее самочувствие.





























