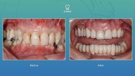
Виниры изготавливаются непосредственно в собственной высокотехнологичной лаборатории CPRO для достижения идеального результата. В стоматологической клинике CPRO процедуру проводит доктор Женилсон Нето, имеющий более 45 лет клинического опыта и степень доктора философии (PhD) по биологии ротовой полости. Стоимость одного винира составляет около 670 $, что включает консультацию, изготовление и последующее наблюдение. Клиника имеет лицензию OMD, а уровень рекомендаций пациентов достигает 91%. Для новых пациентов действуют скидки при установке нескольких виниров.








