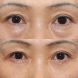
Доктор Ким Джунг Хю проводит нижнюю блефаропластику через трансконъюнктивальный разрез на внутренней стороне века, что исключает появление видимых шрамов. Стоимость процедуры составляет около 2 695 $. Эта прозрачная цена включает общую анестезию, сеансы противоотечной лазерной терапии и обязательное 7-дневное наблюдение для снятия швов. Операция проходит в клинике VG Plastic Surgery, имеющей аккредитацию KOIHA. Для обеспечения безопасности в центре работают три анестезиолога и имеется собственный банк крови. Процедура длится 90 минут и проводится амбулаторно. Как правило, пациенты остаются в Корее на 7 дней для послеоперационного осмотра.



































