На главную

Как это работает

Мы преобразили процесс поиска клиники, сделав его простым, быстрым и персонализированным.
Ответьте на несколько вопросовПройдите короткий опрос и расскажите о своих целях касательно установки прозрачных брекетов.
Получите персональные предложения3 клиники, подобранные на основе ваших ответов, предоставят персонализированные программы и расценки.
Выберите лучший вариантСравните предложения и выберите клинику, которая подходит вам больше всего.
Вы также можете просмотреть все 17 клиник ниже.
820К+ пациентов получили помощь с 2014 года
50 стран
1,500 клиник
6K+ отзывов
3K+ квалифицированных врачей

Сколько стоит установка прозрачных брекетов в Бангкоке?

Средняя цена на установку прозрачных брекетов в Бангкоке составляет $2,600 / 88,400฿, минимальная — $1,800 / 61,200฿, максимальная — $3,400 / 115,600฿.
ТаиландТурцияПольша
Установка прозрачных брекетовот $1,800 / 61,200฿от $1,800 / 61,200฿от $973 / 33,082฿
Элайнеры E-motionот $2,200 / 74,800฿от $2,000 / 68,000฿от $2,200 / 74,800฿
Элайнерыот $2,500 / 85,000฿от $1,100 / 37,400฿от $2,500 / 85,000฿
Исправление прикуса системой Invisalignот $2,765 / 94,010฿от $1,179 / 40,086฿от $2,500 / 85,000฿
Данные подтверждены Bookimed по состоянию на May 2026 года. Информация основана на запросах пациентов и официальных расценках от 175 клиник по всему миру. Средние цены рассчитываются на основе реальных платежей пациентов (2025–2026) и обновляются ежемесячно. Фактическая стоимость может варьироваться.

Предложения по установке прозрачных брекетов в Бангкоке — май 2026

Тип процедуры
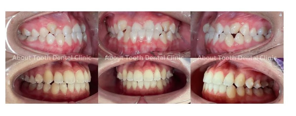
Результаты до и после Invisalign в About Tooth Dental Clinic – выравнивание зубов
Результаты до и после Invisalign в About Tooth Dental Clinic – выравнивание зубов
Результаты до и после Invisalign в About Tooth Dental Clinic – улучшение выравнивания зубов
Результаты до и после Invisalign в About Tooth Dental Clinic – выравнивание зубов
11 лет опыта

Invisalign от сертифицированного провайдера для идеально ровной улыбки

Данный пакет предлагает прозрачное предварительное ценообразование на Invisalign, начиная примерно с 3 145 $. Это значительно ниже среднего международного диапазона цен. Доктор Нисара Танареркчай — сертифицированный специалист, выполнившая более 900 процедур. В стоматологической клинике About Tooth она лично оценивает каждый случай для составления индивидуального плана лечения элайнерами. Доктор имеет сертификат о продвинутой подготовке в области ортодонтии от Университета Таммасат, что гарантирует точность академического уровня. Клиника является зарегистрированным членом Стоматологической ассоциации Таиланда и соответствует национальным профессиональным стандартам ортодонтической помощи.

Лучшие клиники по установке прозрачных брекетов в Бангкоке: 17 проверенных вариантов с ценами

Рейтинг клиник Bookimed основан на алгоритмах data science. В его основе лежат такие критерии: количество запросов от пациентов, отзывы (положительные и отрицательные), актуальность цен и вариантов лечения, скорость ответа клиники и наличие сертификатов.
Стоматологическая клиника SmileBox Dental - Thonglor, Sukhumvit Branch
Международный стоматологический центр в Бангкоке
Стоматологическая клиника Smile Signature в Бангкоке
Стоматологическая клиника Edelweiss Dental House
Международная стоматологическая клиника Бангкока (Bangkok International Dental Hospital)
4.55 отзывов
Цена по запросу
Подробнее
Вы просмотрели 5 из 17 клиник

Обзор процедуры Установка прозрачных брекетов в Таиланде

Основные данные
Похожие процедуры и цены
Как это работает
Что вас ожидает
Преимущества
Варианты оплаты
пациентов рекомендуют -
85%
Длительность операции - 3 часа
Время пребывания в стране - 14 дней
Анестезия - Местная анестезия
Проверенных отзывов пациентов - 14
Стоимость услуг Bookimed - $0

Как ведущая мировая платформа медицинского туризма, мы берем на себя огромную ответственность перед нашими клиентами, как пациентами, так и медицинскими центрами, и предоставляем им точную и прозрачную информацию, касающуюся продукта. Если вы ищете установку брекетов Clear в Таиланде, вы можете доверять Bookimed.com. Вот принципы, которым мы следуем:

Умная автоматическая система ранжирования

Если вы ищете установку прозрачных брекетов в Таиланде, мы формируем наши списки клиник и врачей с помощью нашей интеллектуальной автоматической рейтинговой системы. Система основана на реальных расценках пациентов Bookimed, что дает максимально объективную и прозрачную информацию о клиниках и медицинских услугах в них. Наш опытный специалист по данным ежедневно собирает данные, отслеживает и оптимизирует систему ранжирования с помощью машинного обучения и искусственного интеллекта, чтобы гарантировать, что система ранжирования актуальна и обеспечивает точные результаты.

Только опыт реальных людей

Мы собираем мнения клиентов Bookimed только после получения медицинского опыта в клинике, поэтому каждый на платформе может доверять выбранному учреждению. Мы публикуем положительные и отрицательные отзывы, стремясь стать источником для принятия обоснованных решений для наших будущих клиентов, которые ищут установку брекетов Clear в Таиланде.

Темы с высоким уровнем экспертизы, авторитета и надежности

На Bookimed.com вы можете найти лучшие медицинские решения от ведущих поставщиков медицинских услуг в Таиланде, все в одном месте и часто по конкурентоспособным ценам. Мы заботимся о том, чтобы доставлять самую свежую информацию, а представители клиники в кратчайшие сроки самостоятельно обновляют резюме врачей, возможности клиники, фотографии до и после, цены, пакеты и специальные предложения. Вы можете встретиться с представителем клиники и проверить дату обновления контента на странице каждой клиники, чтобы убедиться в его достоверности.

Наш блог и вспомогательные материалы создаются профессиональными авторами с не менее чем трехлетним опытом написания медицинских текстов и редактируются специалистами-медиками с соответствующим клиническим и исследовательским опытом. Мы стремимся расширить доступ пациентов к медицинской информации, делая ее экспертной, но легкой для понимания. Все статьи соответствуют редакционным правилам Bookimed.

Букимед значения

Если вы ищете установку прозрачных брекетов в Таиланде, вы можете нам доверять. Мы сделаны из людей и для людей, и это наша основная ценность. Все данные, представленные на платформе, собираются, редактируются, проверяются и регулярно обновляются нашими пациентами, нашими клиниками-партнерами и нашей командой, включая Медицинский консультативный совет Bookimed, в который входят всемирно известные врачи с ценным опытом более 20 лет. практика и положительная репутация. Узнайте больше о нас и нашей миссии .

Если вы обнаружите какую-либо ошибку или у вас возникнут вопросы по информации, представленной на Bookimed.com, свяжитесь с нами по адресу marketing@bookimed.com .

Получите медицинскую консультацию по установке прозрачных брекетов в Таиланде: Выбирайте среди лучших специалистов в этой области

Все врачи
подтвержден

Vikram Bhatia

15 лет опыта

Платиновый провайдер Invisalign в 2022 и 2023 годах – Д-р Бхатиа специализируется на прозрачных элайнерах в стоматологической клинике SmileBox.

  • Доктор стоматологической хирургии Университета Рангсит
  • Множество сертификатов по винирам и прозрачным элайнерам
  • В настоящее время получает степень магистра наук в области имплантологии
  • Прошел обучение передовым ортодонтическим методикам

Отзывы о Bookimed: узнайте о реальном опыте пациентов

Все отзывы
Sylvain Bridelance • Протезирование зубов
Финляндия
19 мар. 2025 г.
Отзыв подтвержден.
Я хотел бы поблагодарить BIDC, а также Bookimed за их профессионализм
Всем привет, как и многие другие люди перед операцией, я чувствовала себя не очень хорошо. Сотрудники клиники сразу же успокоили и сопроводили меня. Хотите верьте, хотите нет, но я ничего не почувствовала. Хирург-стоматолог установил 2 имплантата за 40 минут, и у меня не было никаких инфекций. Мой консультант Bookimed (Пеги) был со мной с самого начала и остается со мной по сей день. Я хотел бы поблагодарить BIDC, а также Bookimed за их профессионализм. Сильвен Б.
Простота и профессионализм клиники.
Во время операции мне было очень холодно.
О сервисе Bookimed
Я больше общалась на французском с Пеги, моим референтом, и он взял на себя все заботы о встречах и электронной почте. Это было похоже на то, как если бы он поехал со мной.
Анонимный отзыв • Консультация стоматолога
Лаос
24 апр. 2023 г.
Отзыв подтвержден.
Я рекомендую
Привет ! Очень удобно, что меня записали в клинику заранее и мне не пришлось никого искать! Пришла в стоматологию, меня очень тепло встретили ☺️ Отвезли к врачу, все проверили, сделали снимки и даже сразу запломбировали зуб! Приятно, что все понятно объясняют! И цены у них очень доступные для каждого 😊 Рекомендую
О сервисе Bookimed
Hi all! It’s very convenient that I was booked into the clinic in advance and I didn’t have to look for anyone! I came to the dentistry, I was very warmly greeted ☺️ They took me to the doctor, checked everything, took pictures and even immediately filled the tooth! It's nice that they explain everything clearly! And their prices are very affordable for everyone 😊 I recommend
Nathan Perry • Голливудская улыбка
Соединенные Штаты Америки
4 нояб. 2025 г.
Отзыв подтвержден.
Я получил прекрасное лечение от высококвалифицированного персонала, который обеспечил отличный результат
Я очень рекомендую стоматологию Kitcha Dental в Чиангмае, Таиланд, для установки виниров. Я получил отличное лечение от высококвалифицированного персонала, который обеспечил превосходный результат.
Опыт стоматолога
О сервисе Bookimed
Я остался доволен представленными вариантами и общением.
STEPHANE DERUYK • Установка виниров
Франция
3 мар. 2025 г.
Отзыв подтвержден.
Персонал очень внимательный, отзывчивый, дружелюбный и улыбчивый!
Мне очень понравилась скорость изготовления виниров, а также все объяснения стоматолога. Все прошло очень быстро, в соответствии со всем, что было запланировано. Персонал был очень внимателен, доступен, дружелюбен и улыбчив! Цены очень привлекательны по сравнению с ценами во Франции.
Результаты и цены
Pas de.interpretre
Noel Julie • Осложненное удаление зуба
Соединенные Штаты Америки
21 февр. 2023 г.
Отзыв подтвержден.
Удаление зуба мудрости было сделано очень быстро и с максимальной осторожностью
Это чистая больница, и удаление зубов мудрости было сделано очень быстро и с максимальной осторожностью. Стоматолог и персонал стоматолога могут свободно говорить по-английски, что важно для большинства людей, таких как я. Стоимость удаления зубов мудрости составила 20000 бат за 4 зуба (включая лекарства и оплату медсестры), но все зависит от того, коснулись ли зубы. Очень рекомендую клинику.
Markus Schales • Отбеливание зубов
Швейцария
26 янв. 2025 г.
Отзыв подтвержден.
Я могу только рекомендовать это
Я был в Таиланде в первый раз. Стоматолог. Все прошло как обещано: стоимость, прием, прием и результат. Я могу только рекомендовать.
Быстрое составление графика и согласованная стоимость были соблюдены.
Ничего
О сервисе Bookimed
Получили отличную поддержку. Они постоянно спрашивали, все ли в порядке. Отличный сервис
Linda • Установка зубной коронки
Великобритания
2 дек. 2022 г.
Отзыв подтвержден.
Профессиональное лечение было фантастическим
Весь персонал был очень вежливым и дружелюбным, а профессиональное обслуживание было фантастическим.
О сервисе Bookimed
Блестящий

Поделитесь этим материалом

Twitter XLinkedinFacebookWhatsAppEmail
Получить ссылку
Обновлено: 11/04/2025
Автор
Анна Леонова
Анна Леонова
Руководитель отдела контент-маркетинга
Сертифицированный автор медицинских текстов с более чем 10-летним опытом, отвечает за надежность контента Bookimed. Имеет степень магистра филологии, проводила интервью с мировыми экспертами.
Фахад Мавлюд
Медицинский редактор, Data Scientist
Врач общей практики, лауреат 4 конкурсов научных работ молодых ученых. Работал на Среднем Востоке. Бывший руководитель команды англоязычных и арабоязычных врачей-координаторов. Сейчас занимается анализом данных и выступает медицинским редактором сайта.
Фахад Мавлюд Linkedin
На этой странице может быть представлена информация, касающаяся различных заболеваний, методов лечения и медицинских услуг, доступных в разных странах. Обратите внимание, что контент предоставляется исключительно в информационных целях и не должен рассматриваться как медицинский совет или руководство. Пожалуйста, проконсультируйтесь со своим врачом или квалифицированным медицинским работником, прежде чем начинать или менять лечение.

Получить бесплатную консультацию

Выберите удобный способ связи