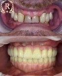
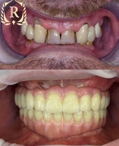
Данный пакет позволяет восстановить зубной ряд всего за 24–72 часа с помощью временного моста из ПММА. Окончательная реставрация из диоксида циркония устанавливается через четыре месяца. Доктор Корнелия Юхас, установившая более 1 000 имплантатов, проводит лечение в клинике Smile Terminal Dental Care. Стоимость составляет около 6 380 $ и включает четыре имплантата Alpha-Bio, цифровое КТ-планирование, трансфер и оба моста. Лечение требует двух визитов с 4-месячным перерывом для остеоинтеграции. Клиника берет на себя организацию поездки для 1 700 иностранных пациентов, которых принимает ежегодно.
























