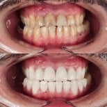
Доктор Сусана Акдаш специализируется на эстетической стоматологии, имеет 16 лет опыта и выполнила 900 процедур. Композитный бондинг может стоить около 215 евро за один зуб. Эта цена обычно включает реставрацию и лечение в тот же день. Как сертифицированный имплантолог, она использует материалы Straumann, а клиника является их официальным поставщиком. Пакеты услуг могут включать VIP-трансфер и проживание в отеле. Доктор Акдаш проходила обучение по цифровым хирургическим решениям для достижения точных результатов.













